阿尔新蓝染色试剂盒

更新:2019/5/8 13:40:39

中文名:阿尔新蓝染色试剂盒说明书下载暂无
英文名:Alcian Blue Staining Kit
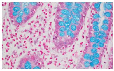
描述:Description: Alcian blue stains acid mucosubstances and acetic mucins. Excessive amounts of non-sulfated acidic mucosubstances are seen in mesotheliomas, certain amounts occur normally in blood vessel walls but increase in early lesions of atherosclerosis. Strongly acidic mucosubstances will be stained blue, nuclei will be stained pink to red, and cytoplasm will be stained pale pink.
订购信息
    货号规格价格品牌
    G8015-100ml50ml*2580GBCBIO
    G8015-200ml100ml*2990GBCBIO
产品介绍

    PURPOSE:
    Alcian blue stains acid mucosubstances and acetic mucins. Excessive amounts of non-sulfated acidic mucosubstances are seen in mesotheliomas, certain amounts occur normally in blood vessel walls but increase in early lesions of atherosclerosis. 

    PRINCIPLE:
    Alcian blue is a group of polyvalent basic dyes that are water soluble. The blue color is due to the presence of copper in the molecule. The 3% acetic acid solution (pH2.5), Alcian blue stains both sulfated and carboxylated acid mucopolysaccharides and sulfated and carboxylated sialomucins (glycoproteins). It is believed to form salt linkages with the acid groups of acid mucopolysaccharides. 

    PROCEDURE
    1. Deparaffinize sections, if required, and hydrate to distilled water.
    2. Apply Acetic Acid Solution onto tissue section for 3 minutes.
    3. Tip off excess and apply Alcian Blue Solution for 30 minutes at room temperature or 15 minutes at 37oC.
    4. Rinse slide briefly (10-30 seconds) in Acetic Acid Solution to remove excess Alcian Blue.
    5. Rinse for 2 minutes in running tap water followed by 2 changes of distilled water (1-2 minutes each).
    6. Apply Nuclear Fast Red Solution for 5 minutes.
    7. Rinse for 2 minutes in running tap water followed by 2 changes of distilled water (1-2 minutes each).
    8. Dehydrate through graded ethanols.
    9. Clear and coverslip.

    Acidic Sulfated Mucosubstances: Blue
    Hyaluronic Acid: Blue
    Sialomucins: Blue
    Nuclei: Red


更多产品